Morgens im Bett, wenn ich schon wach bin, aber meine Batterien noch nicht voll geladen, liege ich manchmal da und lausche auf meinen Atem. In der Depression waren das die einzigen friedlichen Minuten des Tages gewesen. Ich erinnere mich an eine Zeit, das muss gewesen sein, als die Lungenkapazität noch unter 50% war, da gab es einen Moment der Blockade, gefühlt, wenn der Atem am Zwerchfell vorbei hätte müssen. Über diese Schranke bin ich lange nicht drüber gekommen, es war keine Angst vor Husten oder Schmerzen, sondern schieres Unvermögen. Diese Grenze auszutesten war ein morgendliches Ritual. Wann hat sich das geändert? Vermutlich noch nicht mit der Tenorblockflöte, sondern erst mit dem Saxophon. Jetzt muss ich ihn nicht mehr bewachen, den Atem, er fließt ungehindert bis in den Bauch. Auch der allmorgendliche Schreck des „Mist, ich hab‘ ja Krebs“, der als Alptraum angefangen hatte und später nur noch den vollen Wachzustand markierte, war blass geworden und es hatte immer mehr Morgen gegeben, an denen ich in Gedanken bei meinen Menschen, den Großeltern oder meinem nächsten Aquarell war, ohne erst am Krebs vorbei zu müssen.
Ich hatte mich daran gewöhnt, dass die „CT Thorax/Abdomen mit Becken“-Untersuchungen keine beunruhigenden Ergebnisse brachten und hatte wieder angefangen, mich der Illusion hinzugeben, dass ich es – dieses Mal! – spüren würde, wenn der Krebs sich wieder regen würde. Das war natürlich ein Witz, wenn man bedenkt, wie fortgeschritten mein Brustkrebs bei seiner Erst-Entdeckung war, und ich mich quasi bis zum Bericht aus der Thoraxklinik, mit dem ich es buchstäblich schwarz auf weiß hatte, konsequent geweigert hatte, mehr als depressive Nebenwirkungen in meinen Symptomen zu sehen.
Der Radiologe schrieb elegische Berichte über „unzählige Narben und Dystelektasen aber auch kleinsten primär subpleural gelegenen mikrogranulomatösen Veränderungen“ oder von „pulmonal unzähligen Plattenatelektasen und Dystelektasen“ und nicht zu vergessen: „erhebliche sonstige degenerative Veränderungen des Lungengerüsts“ und klang im Gespräch empört darüber, dass keine Metastasen zu finden waren. Was ihn daran so aufbrachte, verstand ich nicht, aber meine Metastasenlosigkeit entsprach wohl nicht seinen Erwartungen. Ich war heimlich und leise beleidigt von seinen Ausführungen, weil mein Brustkorb sich im Gegensatz zu diesen zackigen und fremdartigen Begriffen weit und leicht anfühlte und ich den Anstieg der Grünschnittplatzrunde mittlerweile ohne Verschnaufpausen und mit eindeutig mehr Luft als zu krebslosen Raucherzeiten bewältigen konnte. Also entsprachen seine Ausführungen umgekehrt auch nicht meinen Erwartungen.

Und dann schlich es sich an, erst ein Bericht mit einem kleinem wachsenden Etwas, das irgendwie alles oder nichts sein konnte. Mir gelang es ernsthaft, ruhig zu bleiben, keine hypochondrischen Anflüge. Vom Lesen des darauffolgenden Berichts ist mir nur der Moment in Erinnerung, als ich begriff, dass es jetzt vorbei war mit den Phantasien, dass ich den Krebs gezähmt hätte, und mit einem knappen „Scheiße“ vom Sofa aufspringen musste. Und mit einem Schlag fühlten sich meine weiten, blanken Lungenflügel wieder blutig wund und mit schwarzer Tintenfeder aufgekratzt an, wie auf dem Bild hier.

Metastasen sind wie Radioaktivität, man sieht, spürt und riecht die Gefahr nicht. Wahrscheinlich sehen Uran-Atom-Kerne auch ganz harmlos aus und die winzigen Metastasen sind in der Tiefe meines Brustkorbs geborgen, nur der mikroskopische Blick des Radiologen pflückt die Mini-Erbsen, wie mein Sohn sie tituliert, aus dem verschwommenen Dunkelgrau der CT-Bilder.
Das Tumorboard nimmt sich meiner wieder an, auch sie halten die Erbsen für Metastasen und ich kriege wieder Kisqali, die sogenannte „Tabletten-Chemo“, die die Zellteilung nicht komplett killt, sondern nur verlangsamt, genau das Richtige für meinen minderbemittelten Zeitlupen-Krebs. Und eine andere Sorte Anti-Hormon. Also alles bekannt, das kenne ich schon, das kriege ich hin. Sage ich mir. Die Metastasen definieren einen Punkt im Zeitfluss, an dem sich wieder ein Vorher von einem Nachher scheidet. Eine Wegmarke, an der man stehenbleibt und sich erst mal orientiert, bevor man weiter wandert. Lange nicht so extrem wie der Tag, an dem ich mit einer, mit Nervenzusammenbruch nur unzulänglich beschriebenen Pulverisierung meiner Selbst aus dem Berufsleben hinab- und hinausstürzte, aber doch auch wieder eine neue Zeitrechnung, kein neuer Roman diesmal, grad ein neues Kapitel.
Ich ließ seufzend von meiner heimlich, still und leise gehegten Idee ab, dass der Krebs sich doch hatte zähmen lassen, dass ich eine heldenhafte Prinzessin sein könnte, vor der selbst Zell-Entartungen respektvoll zurückweichen. Schade auch. Aber im selben Moment gab es zum ersten Mal auch einen Blick zurück auf die letzten vier, ja fast fünf Jahre, weil die Depression natürlich dazugehört und ein aufrecht stolzes: „Ich habe diese Zeit genutzt!“, obwohl mir „genutzt“ nicht als das richtige Wort erscheinen will, weil Produktivität nicht im Vordergrund steht. Es ist mehr ein „Ich habe gelebt“. Das Spielen von Body-and-Soul-Instrumenten, das Malen von dahinfließenden, rauen Aquarellen, das Schreiben von Texten wie diesen hier, das Abtauchen in die Vergangenheit, das alles gehört dazu, macht es aber nicht aus. Auch die Aufzählung von Dingen, die mir jetzt besser gelingen wie früher, vor allem im Umgang mit meinen Mitmenschen, könnte die Essenz nicht fassen, deshalb erspare ich sie mir und euch. Reife? Irgend so etwas in der Richtung mag es wohl sein. Ist es ernsthaft wahr, dass wir dazu den Schmerz brauchen? Den Verlust von Nahestehenden, der Eltern, der Schwester, und der Verlust des Bewusstseins der eigenen Unsterblichkeit? Und dann am Ende auch noch die Akzeptanz des körperlichen Schmerzes, der sich, auch ohne spezielle Krankheiten, zu einem Gesellen des Älterwerdens mausert?
Es ist Anfang Januar, ich habe nach langem wieder einmal das Bedürfnis, Tagebuch zu schreiben, aber auch dieses Schreiben ist heutzutage schon geformt und ich erzähle über die ersten Wochen mit der neuen Medikation:
Ich wache nach 11 Uhr auf, nach einem 9-stündigen, tief erholsamen Schlaf, und habe keinen Ischias-Schmerz mehr. Ich merke schon seit Tagen, genauer: seit die 4 Wochen vorbei sind, in denen die Spritze [Anti-Öströgen namens Fulvestrant] ihre volle Wirksamkeit hat, wie mit jedem Tag der Schmerz weniger wird, es fühlt sich an als würde er nach unten abfließen. Übrig geblieben ist das kleine Nagen im Zentrum der linken Arschbacke, das so wohlvertraut-bekannt ist. Genau der Schmerz, der sich nach der Akupunktur in der darauffolgenden Nacht so gegen halb 4 aufgebäumt hatte mit einer sehr quengeligen Ich-gehöre-doch-zu-dir-du-kannst-mich-doch-nicht-einfach-wegschicken-Litanei.
Am Tag dann schien der Schmerz nachgeben zu wollen, aber bald war die nächste Spritze gekommen und noch während Dr. Onko meine Ischias-Erzählung nicht mit seiner Spritze in Verbindung bringen wollte, dockte das inzwischen schon vertraute Brennen direkt an den zentralen Schmerzpunkt an und leitete das weihnachtliche Schmerzdrama ein. Der Schmerz beruhigte sich zwischendurch manchmal, war hochgekocht, wenn ich meinte, bei minus sieben Grad einen kleinen Kuseler Stadtbummel machen zu müssen. Oder eben meine Grünschnittplatzrunde drehen zu müssen, zur Begleitung murmelte des Doktors Ratschlag zur Besserung durch Bewegung in meiner Ohrschnecke. Es ging sich so freudig leicht und locker, immer wieder voller Genuss an der wiedergewonnenen Lebenskraft und ich war noch nicht wieder richtig zur Tür drin, als mich der Schmerz überfiel und aufs Sofa bannte. Die Sorte, wo muskelentspannendes Ortoton nix hilft. Diese Umkehr, die Erkenntnis, dass der Spritzennebenwirkungsschmerz sich genau konträr zum altvertrauten Ischias verhielt und damit meine Methoden auf den Kopf stellte. Meine Allheilmittel bei Ischias oder anderen Gelenkschmerzen ist spazieren gehen, schwimmen gehen, radeln. Und jetzt hieß es lieber still auf dem Sofa bleiben. Ich mag mein Sofa ja gerne, aber wenn es mich zur Bewegung drängt und ich aus Angst vor Schmerzen dem nicht nachkommen kann, fühle ich mich eingesperrt, beschränkt.
Diese Nagen und Ziehen des Ischias – es heißt offiziell „Ischialgie“, aber genau wie beim „Rücken“ und beim „Blinddarm“ reicht es, den Ort des Geschehens auszusprechen, der beinhaltet den Schmerz dann mit -, ist eine Sorte Schmerz, die einen Fokus erzwingt. Wie Metallsplitter sich an einem Magneten ausrichten, so zieht dieser Schmerz alle Aufmerksamkeit auf sich und führt zu einem Locked-in-Sog, der von einer depressiven Episode kaum zu unterscheiden ist.
Nachdem dann der Versuch mit Novalgin scheitert, weil der Kreislauf so absackt, dass mich nur die Panikattacke aus Angst vor einem Kollaps wieder hoch genug bringt, dass ich keinen Kollaps bekomme, verschiebt sich der Krampf-Fokus auf den bevorstehenden Onko-Termin und der Not, wie ich ihm beibringen kann, dass es mit der Spritze nicht mehr geht, obwohl er sie immer schon suggestiv in einer Nierenschale vor sich herträgt, wenn er mich aus dem Wartezimmer hoch über Mannheims Dächern holt. Es ist dann, wie insgeheim schon gewusst, ganz unkompliziert und ich bekomme endlich das Exemestan, auf das ich spekuliere, seit ich bei meinen Krebs-Kolleginnen mitbekommen habe, wie gut sie es alle vertragen.
Und jetzt, wo mich die Leichtigkeit des weggeflossenen Schmerzes erhebt, weitet sich der Blick, ich sehe zum ersten Mal den dicken Ast von der Linde im Garten liegen, der nach Aussage meines Mannes sich schon Wochen dort befindet und kann nach Tagen der unglücklichen Erschöpfung, die diese erste Zeit nach einer wie-auch-immer gearteten Erleichterung begleiten, von erhöhter Warte auf die letzten Monate blicken. Die Wucht, die diese Metastasenerbse und ihr jüngere Mini-Variante entfaltet haben, erschreckt mich auch im Rückblick noch. Was ich mich entschlossen hatte mit nehm-ich-halt-wieder-Kisqali abzufertigen, hat sich mit Macht wieder in die Mitte meines Fühlens und Denkens gedrängt. Sogar meine buchstäblich wilde Entschlossenheit, die Wiederkehr der Metastasen als Gelegenheit zur neuen Lebensgenussmaxime eines klassischen wenn-nicht-jetzt-wann-dann zu benutzen ist zwischendurch abgesoffen im ziehenden Schmerz von Arsch bis über die Knie. Also unter die Knie, von hier oben aus gesehen.
Und jetzt? Der neuerliche CT-Termin belohnt mich für das ganze Drama mit einer neuen Ärztin, die nicht nur mit mir redet, sondern mir die Bilder erklärt und dann auch noch die Erlaubnis zum vorsichtigen Schlittschuhlaufen erteilt. Und das, nachdem mir das gefürchtete Trinken von Kontrastmittel wegen schlechter Nierenwerte erspart geblieben war, was ich mit einem leise gejauchzten „Party!“ quittiert hatte.
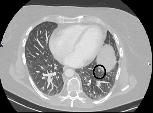
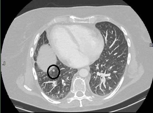
Ich habe schon einen beachtlichen Stapel voller CDs mit Bildern von allen möglichen meiner Körperteilen, aber erst jetzt bekomme ich das kleine Böse so gezeigt, dass ich es zu Hause auch wiederfinden kann. Die kleinere und einzige eindeutige Metastase ist hier zu sehen. Ziemlich genau in der horizontalen Mitte des Bildes am unteren linken Rand der Eiform, die aus dieser Sicht mitten im Lungenflügel gebettet scheint, aber nur schon den Beginn des Zwerchfells darstellt, sitzt diese winzig kleine runde Form. also hier:

Wenn ich meinen Blick endlich von dem kleinen tanzenden Figürchen abwenden kann, das da unten im linken Lungenflügel (also in Wirklichkeit im rechten, aber ich will jetzt mal nicht kleinlich sein) mit gesenktem Kopf herumgeistert, frappiert mich die Winzigkeit dieser Erbse, etwa 5 mm heißt es. Seine wohlgeformte Rundheit zeichnet es als eindeutige Metastase aus, im Gegensatz zu allen anderen Veränderungen, die, wie es mir bei Radiologen öfters passiert, nur schriftliche Metastasen sind, im trauten Gespräch eher nicht. Dieses eine Pünktchen ist also die Ursache all der neuerlichen Aufregung. Unscheinbar trifft es am besten. Es blinkt nicht grellrot auf, es pulsiert nicht, nix. Und es wächst nicht, das ist die gute Nachricht.
Dieses flache Schwarz-Weiß der CT-Bilder hilft beim Verständnis der Krankheit nicht weiter. So wie ich die tödliche Gefahr nicht in diesem kleinen Kreis erkennen kann, genau so kann ich diese farblosen Schnitte nicht mit meinem Körperinneren zusammenbringen. Es führt kein Weg von diesem Bild zu einem Gefühl für den Krebs, es ist mir nach all den Jahren nicht gelungen, ein Gespür dafür zu entwickeln und auch die „Schnitte“, also Querschnitte durch meinen Oberkörper bringen mich am Ende nicht weiter. Ich bleibe lieber beim Bild von der kleinen grünen Erbse. Wobei es jetzt aber doch geholfen hat, ist bei der Beruhigung. Das rote Blut und kratzige schwarze Gekröse ist wieder gewichen zugunsten dieser neutralen Flachheit.
OH MY GOSH! (das sagt man an Stelle von „Oh my God“, wenn man aus der Kirche ausgetreten ist ;-)) Es ist natürlich von Bedeutung, dass diese Bilder seitenverkehrt sind. Natürlich spüre ich diese Stelle, ich weiß auch genau, wo sie sich befindet, nämlich dort, wo ich den Krebs lokalisieren würde, wenn ich mich nicht erst gedanklich auf die Reise des wo-war-das-jetzt-wieder-ach-ja-der-ursprungskrebs-sitzt-in-der-rechten-brust begebe, sondern einfach spontan auf die Stelle zeigen müsste, wo er sitzt:

Darf ich vorstellen: Meine Mitte, einmal durchgeschnitten, wie wenn die Fleischfachverkäuferin eine Scheibe Schinken abschneidet. Das ist das Zentrum der Zerstörung, dort suppten die anderthalb Liter Pleurawasser vor sich hin, dort saß die schlimmste aller Entzündungen vom gruseligen Drainage-Schlauch. Klar. Und jetzt sehe ich auch, wie das kleine tanzende Figürchen sich dorthin neigt. Klasse, da ist das Thema fürs nächste Aquarell.
Und ich spüre, dass die Phase der Konzentration auf die Krankheit im Allgemeinen, ihre Nebenwirkungen im Speziellen und meiner Ramponiertheit im Besonderen sich ihrem temporären Ende zuneigt und ich jetzt meinen anderen Projekten nachgehen möchte. Zum Beispiel mal wieder auf der Akropolis rumklettern. Und der kleine Schmerz darf mit, ausnahmsweise.
